
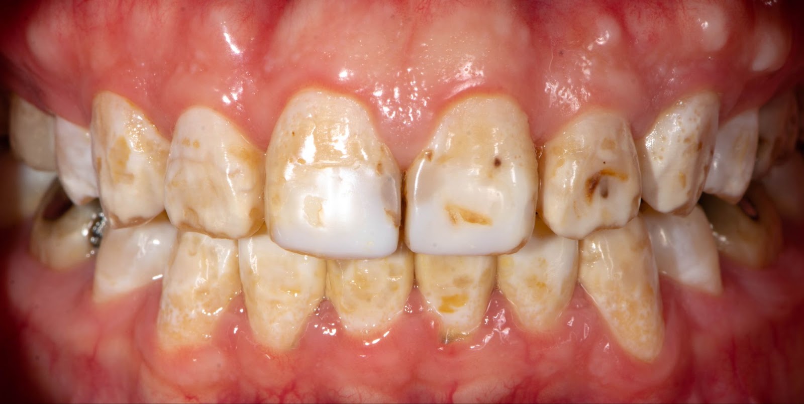
Yellow, Brown or Spotted Teeth? Even After Brushing? Know the Real Reason .
A bright smile plays a huge role in confidence, but tooth stains can dull even the healthiest-looking teeth. Understanding the difference helps in choosing the right treatment and maintaining long-term oral aesthetics.




