dd
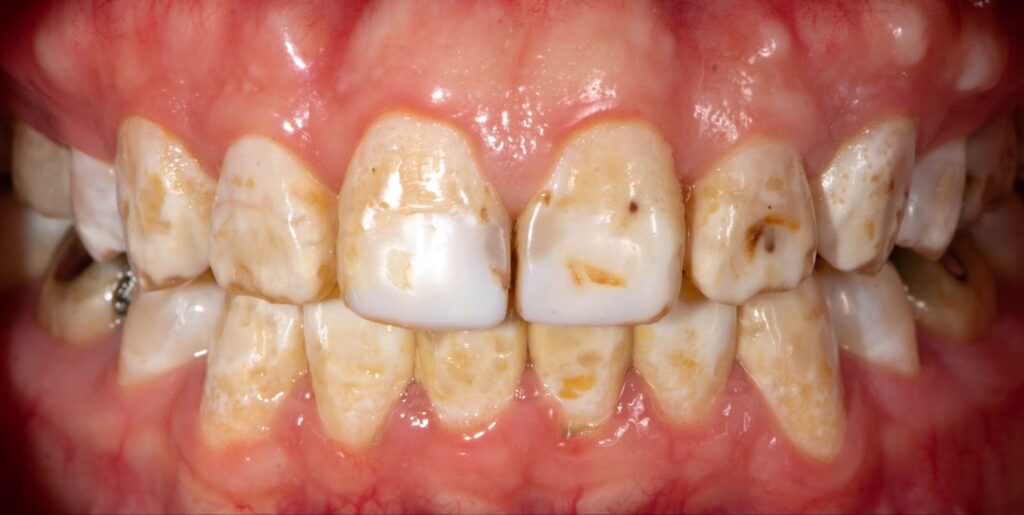
A bright smile plays a huge role in confidence, but tooth stains can dull even the healthiest-looking teeth. Tooth discoloration is broadly classified into extrinsic and intrinsic stains, depending on where the stain forms.
Causes of Tooth Stains
Extrinsic stains affect the outer surface (enamel) of the teeth and are usually caused by lifestyle habits. Common reasons include frequent consumption of tea, coffee, red wine, tobacco, smoking, poor oral hygiene, and plaque buildup. Certain mouthwashes containing chlorhexidine and excessive intake of colored foods can also contribute.
Intrinsic stains occur within the tooth structure (dentin) and are often more challenging to treat. These stains may develop due to excessive fluoride intake during childhood (dental fluorosis), use of antibiotics like tetracycline during tooth development, trauma to teeth, aging, developmental defects such as enamel hypoplasia, and systemic conditions. Teeth may appear yellow, brown, grey, or show white or dark patches.
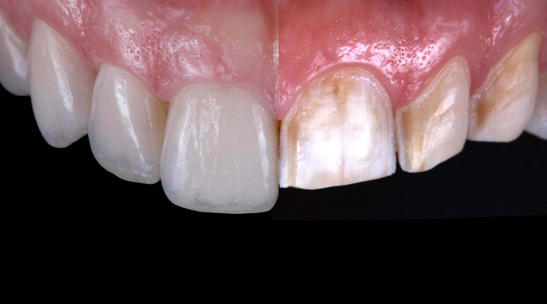
Treatment Options
Treatment depends on the type and severity of staining.
For extrinsic stains, professional scaling and polishing, air polishing, and lifestyle modifications often show excellent results. Regular brushing, flossing, and limiting staining foods help prevent recurrence.
Intrinsic stains require advanced aesthetic solutions. Teeth whitening (bleaching) may help mild cases. Moderate to severe discoloration, such as fluorosis or tetracycline staining, may need composite veneers, porcelain veneers, or dental crowns to restore a natural appearance. Early diagnosis and personalized treatment planning by a dentist are key for optimal results.Maintaining good oral hygiene and regular dental visits can help keep your smile stain-free and healthy.
IntrinsicStains ToothDiscoloration DentalFluorosis TetracyclineStains CosmeticDentistry SmileMakeover TeethWhitening DentalVeneers DentalCrowns OralHealthAwareness HealthySmile DentalCare Dentistry AestheticDentistry SmileCare ToothHealth DentalEducation FluorideAwareness StainedTeeth WhiteSmile DentalTreatment ModernDentistry ConfidentSmile OralHygiene DentalClinic PreventiveDentistry EnamelDefects DentalFacts SmileGoals TeethCare DentalAwareness OralWellness DentalSolutions ToothStains BrightSmile DentalHealth CosmeticDentalCare SmileTransformation DentalTips OralCare HealthyTeeth DentalLife DentistApproved DentalCheckup DentalConsultation SmileWithConfidence BetterSmile ToothCareTips DentalClinicLife PerfectSmile DentalExperts SmileDesign ToothAestheticsDentalClinic,DrAbhaypaul MultispecialityClinic NaviMumbaiDentist, Hexadent
Our Services
Clear aligners are transparent, removable trays that straighten teeth over time. They are a discreet alternative to traditional braces, offering comfort and convenience as they can be removed for eating and cleaning.
Braces are orthodontic devices used to correct misaligned teeth and jaws. They consist of brackets and wires that apply continuous pressure to move teeth into the desired position over time.
Crowns are caps placed over damaged teeth to restore their shape, size, and function. Bridges are used to replace one or more missing teeth by anchoring to adjacent teeth or implants, providing a natural-looking and functional solution.
Growth modification is an orthodontic treatment aimed at correcting jaw discrepancies in growing children. It uses appliances to guide the growth of the jaw, ensuring proper alignment and bite.
Smile design involves a combination of cosmetic dental procedures to enhance the appearance of your smile. This can include veneers, crowns, teeth whitening, and orthodontics, tailored to achieve your desired look.
Root canal treatment is a procedure to save a severely infected or damaged tooth. It involves removing the infected pulp, cleaning the inside of the tooth, and sealing it to prevent further infection.
Dental implants are artificial tooth roots made of titanium that are surgically placed into the jawbone. They provide a strong foundation for fixed or removable replacement teeth that match your natural teeth.
Teeth whitening is a cosmetic procedure that lightens the color of your teeth. It can be done in-office effectively removing stains and discoloration for a brighter smile.
Tooth fillings are used to restore cavities or damaged teeth. The decayed portion of the tooth is removed, and the area is filled with materials like composite resin, amalgam, or gold to restore its function and appearance.
Tooth extraction is the removal of a tooth from its socket in the bone. It is performed when a tooth is severely damaged, decayed, or causing crowding, and cannot be saved by other treatments.
Meet Our Experts
Orthodontist
Dental specialist
Oral & Maxillofacial Surgeon
Prosthodontist
WhatsApp us