dd
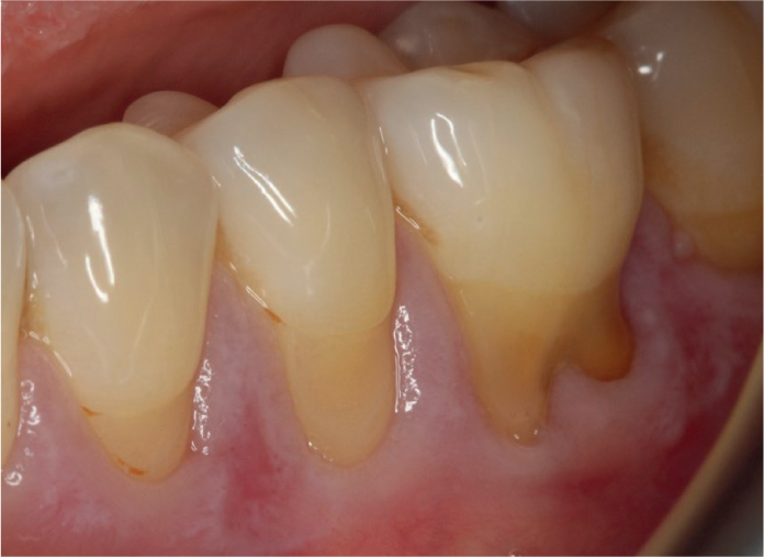
Gum recession is a common dental problem where the gums slowly pull away from the teeth, exposing the tooth roots.The main causes include aggressive brushing, using hard-bristle toothbrushes, poor oral hygiene, plaque and tartar buildup, gum disease, teeth grinding, misaligned teeth, smoking, and even genetic factors.
When gums recede, the exposed roots are more prone to cavities, sensitivity to hot and cold foods, bad breath, and in advanced cases, loose teeth. The good news is that gum recession can be managed and treated effectively with timely dental care. Simple steps like switching to a soft-bristle toothbrush, brushing gently, flossing daily, and attending regular dental check-ups can slow down progression.
At Hexadent Multispeciality Dental Clinic, we offer personalized treatment based on the severity of gum recession. Our care includes professional scaling and deep cleaning to remove plaque and bacteria, treatment for gum infections, desensitizing solutions for sensitive teeth, and advanced periodontal therapies when needed. In severe cases, we also guide patients for gum grafting procedures to protect exposed roots and improve gum health.
If you notice sensitivity, bleeding gums, or changes in your gum line, don’t wait. Early treatment can save your teeth and restore your confidence.Gum recession may be silent, but with the right care and expert guidance, it doesn’t have to control your smile.
Gum Recession, Receding Gums, Gum Health, Oral Health Awareness, Dental Care, Healthy Gums, Bleeding Gums, Tooth Sensitivity, Gum Disease, Periodontal Care, Dental Checkup, Preventive Dentistry, Smile Care, Healthy Smile, Dental Education, Oral Hygiene, Soft Bristle Brush, Scaling And Polishing, Deep Cleaning, Plaque Control, Tartar Removal, Gum Infection, Loose Teeth, Root Exposure, Dental Awareness, Dental Wellness, HexaDent, HexaDent Multispeciality Dental Clinic, Periodontal Treatment, Gum Therapy, Smile Protection, Tooth Care, Oral Care Routine, Dental Tips, Healthy Mouth, Long Term Dental Care Dr Abhay Paul, Navi Mumbai Dentist, Nerul, Multispeciality Dental Clinic
Our Services
Clear aligners are transparent, removable trays that straighten teeth over time. They are a discreet alternative to traditional braces, offering comfort and convenience as they can be removed for eating and cleaning.
Braces are orthodontic devices used to correct misaligned teeth and jaws. They consist of brackets and wires that apply continuous pressure to move teeth into the desired position over time.
Crowns are caps placed over damaged teeth to restore their shape, size, and function. Bridges are used to replace one or more missing teeth by anchoring to adjacent teeth or implants, providing a natural-looking and functional solution.
Growth modification is an orthodontic treatment aimed at correcting jaw discrepancies in growing children. It uses appliances to guide the growth of the jaw, ensuring proper alignment and bite.
Smile design involves a combination of cosmetic dental procedures to enhance the appearance of your smile. This can include veneers, crowns, teeth whitening, and orthodontics, tailored to achieve your desired look.
Root canal treatment is a procedure to save a severely infected or damaged tooth. It involves removing the infected pulp, cleaning the inside of the tooth, and sealing it to prevent further infection.
Dental implants are artificial tooth roots made of titanium that are surgically placed into the jawbone. They provide a strong foundation for fixed or removable replacement teeth that match your natural teeth.
Teeth whitening is a cosmetic procedure that lightens the color of your teeth. It can be done in-office effectively removing stains and discoloration for a brighter smile.
Tooth fillings are used to restore cavities or damaged teeth. The decayed portion of the tooth is removed, and the area is filled with materials like composite resin, amalgam, or gold to restore its function and appearance.
Tooth extraction is the removal of a tooth from its socket in the bone. It is performed when a tooth is severely damaged, decayed, or causing crowding, and cannot be saved by other treatments.
Meet Our Experts
Orthodontist
Dental specialist
Oral & Maxillofacial Surgeon
Prosthodontist
WhatsApp us